Имплантация →Синус-лифтинг
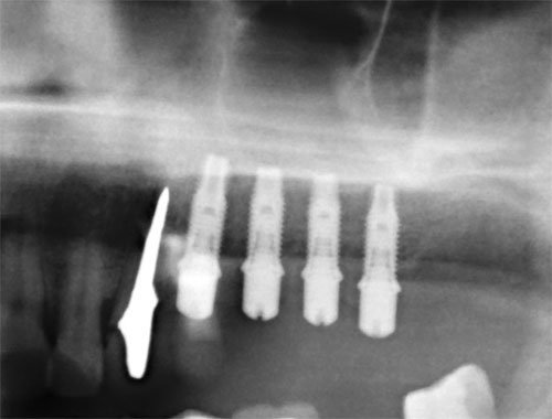
![]() Синус-лифтинг (поднятие дна гаймеровой пазухи). Данная процедура относится только к верхней челюсти. Проводится в случаях недостаточной высоты кости между краем костного гребня верхней челюсти и дном гаймеровой (верхнечелюстной) пазухи. Различают открытый и закрытый синуслифтинг по способу доступа к пазухе. Закрытый — это доступ через отверстие импланта, а открытый — это боковой доступ через преддверие полости рта. Принцип операции в том, что через любой из доступов, в пазуху вводится костное вещество, которое превращается в собственную кость в течение полугода. В зависимости от толщины альвеолярного отростка зубные имплантаты могут быть установлены либо одновременно с выполнением синус-лифтинга, либо через некоторое время после заживления участка. статья «Синус-лифтинг» добавлена 2008-11-15 года
|
![]() |
![]() |
![]() |
|
тел.: +7 (812) 983-66-66
Стоматологический центр Dental House |
Все материалы этого сайта являются объектами Авторского права
и охраняются Законодательством РФ Дизайн сайта - lexa.spb.ru
|